客服咨询热线

010-62179040

临床应用

胸外科

应用范围

  • 支气管残端封闭                   

  • 支气管吻合口封闭

  • 肺大泡封闭                               

  • 支气管胸膜瘘封闭               

  • 肺部活检通道封封闭

  • 纵膈创面封闭                      

  • 肺断面的封闭             

  • 手术切口皮缘粘合


20.jpg

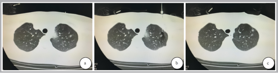
图例:穿刺前后 CT 图像

a:穿刺前;  b: 图2 穿刺中,距离病灶5 mm 处注射医用胶;c: 穿刺后,医用胶注射后形成质地坚硬的胶粒。

VATS术前CT引导下肺结节定位技术

CT引导下医用胶注射在胸腔镜肺部磨玻璃影和小结节手术定位是一种方法可靠、实用性强的病灶定位技术。有助于肺部病灶定位准确、快速、安全、牢固、便捷,提高胸腔镜手术成功率、降低手术难度。


医用胶是指以α-氰基丙烯酸正辛酯、α-氰基丙烯酸正辛酯为主体的一类生物制剂。能够强力黏合机体组织,且速度快,无毒副作用,安全性高。 既不会随着时间的推移而扩散和移位,时间上允许择期手术;术中也可以通过触觉感知到其存在的位置,比较容易的找到病变部位。 此外由于胶水的黏合作用可以封闭穿刺点减少气胸的发生率。


随着肺癌发病率的不断上升以及胸部CT应用于肺癌筛查和健康体检的不断增多,越来越多的单纯肺部磨玻璃影( pure ground-glass opacity,pGGO ) 和肺孤立性小结节( solitary pulmonary nodule,SPN ) 被发现,除了部分陈旧病变和典型的良性病变外, 相当多的肺部磨玻璃影和小结节通过一段时间的随访后不能除外早期恶性肿瘤的可能性,胸腔镜手术既能够明确病理诊断,又具有微创的优势,成为该类疾病的首选治疗方式, 如何在胸腔镜下快速而又准确的定位成为胸外科领域关注的热点问题。 但腔镜下探查肺小结节,单纯依靠肉眼及手指探查已经无法满足手术的要求,GGO和SPN病灶体积较小,术中定位困难,尤其是胸腔镜手术切口小,仅能通过手指触摸进行定位, 定位更为模糊,部分患者甚至因定位失败中转开胸手术。


CT引导下医用胶注射能够为胸腔镜下GGO、SPN的位提供准确参考,对于缩短手术时间、控制切除范围、降低手术难度均具有积极意义,且医用胶牢固、便捷的优势,可使得手术时机的选择更为灵活,从而提高手术安全性与有效性,是一种方法可靠,实用性强的病灶定位技术。


21.jpg

图例:女,36 岁,肺微浸润性腺癌。右下肺外基底段磨玻璃结节(箭),直径约7mm(A);CT定位穿刺针位置(箭,B);快速医用胶形成的小结节(箭)、磨玻璃结节(箭头,C);右下肺楔形切除组织,病灶(箭头)直径约6mm,灰红结节(D)


26.jpg

医用胶肺结节定位操作要点

1、注射医用胶的剂量无需太多,我们的经验是注入0.2~0.3ml 即可,通常穿刺针头距离胸膜面垂直距离小于1cm时注入0.2ml,大于1cm时可注入0.3ml。在推注完医用胶后可拔下针筒抽0.1ml空气然后往套管针注入,此动作可以将套管针内存留部分医用胶充分注入肺组织并加快医用胶凝固,封闭伤口。

2、穿刺套管针头只需保证位于肺结节周边15mm的范围内,即可进行医用胶注射,套管针可以紧贴肺结节穿入,但绝对不能穿过结节,否则医用胶可能污染病灶而干扰病理诊断。

3、严格把控医用胶注射部位、注射剂量及注射速度,在发挥该技术准确定位优势的基础上,进一步提高安全性。

医用胶用于经皮肺穿刺活检通道封堵

目的:减少气胸和血胸的发生几率


25.jpg


操作说明

1、根据病人病变的部位来确立适合的体位,体表贴定位条;

2、在CT的扫描下确定病变的部位和病变部位的距离及进针的穿刺点 ,同时还要确立胸壁的厚度和进针的角度;

3、术前准备常规消毒皮肤;

4、局部麻醉;

5、将穿刺针刺入胸部内,再次进行CT扫描穿刺针是否刺入病变部位内;

6、常规的方法取活检 ;

7、预先抽取医用胶于1ml注射器内,排空气体备用;

8、取完活检后连接盛有医用胶的1ml注射器注入医用胶,自活检部位开始,边退边注医用胶,退至穿刺针针尖在脏胸膜内约0.5cm处停止注医用胶;

9、封闭穿刺孔,取出穿刺针。

经验总结

1、注入的医用胶以0.2~0.3ml为宜;

2、避免医生习惯性回抽注胶注射器,以免回血(组织)发生堵塞;

3、快速的注入医用胶避免与穿刺针的通道发生堵塞、粘连;

4、快速退针,避免穿刺针与组织发生粘连;

5、自活检部位开始,边退边注医用胶,退至穿刺针针尖在脏胸膜内约0.5cm处停止注医用胶;

6、对术中的器械进行保护。

医用胶在肺脏手术中的应用:肺断面的处理

1、实验组:应用直线切割缝合器处理分叶不全的肺裂,近手术结束时,胸腔内注入温生理盐水,膨肺后检查肺断面,漏气处应用丝线缝扎或结扎后,肺断面覆盖合适大小聚乙醇酸材料,应用医用胶均匀喷洒于表面。 

2、对照组:用直线切割缝合器处理分叶不全之肺裂,手术近结束时,胸腔内注入温生理盐水,膨肺后检查肺断面,所见漏气处应用丝线缝扎或结扎。 


图片13.jpg


结果:

两组无围术期死亡病例;无明显肺、胸腔感染等并发症;无术后活动性出血。两组术后漏气时问及术后48小时胸腔引流量对比见表1,聚乙醇酸组平均术后漏气时间比对照组减少,两者差异有显著性,胸腔引流量两组无明显差异。 


操作要点

1、肺创面的活动出血和较大的漏气,均需要进行缝扎、止血; 

2、拭净创面的渗血或积液; 

3、在肺创面均匀涂抹医用胶; 

4、在肺膨胀状态时暂停术侧肺通气,此时喷涂胶液,肺创面的胶膜在换气时不易脱落,且形成的胶膜不会限制局部肺膨胀; 

5、肺创面封闭后,进行水封实验,气道内压不应小于3.9Kpa(40cm水柱); 

6、视肺脏创面大小适量喷涂胶液1次~2次,胶液不宜多,雾状喷出胶液,形成均匀胶膜。 


参考文献:可吸收聚乙醇酸材料联合钟氰基丙烯酸正丁酯医用胶在肺脏手术中的应用,赵方晓,赵立强,张振葵,梁勇,于立新(北京朝阳医院京西院区胸外科),北京100043)《中国医刊》2012年第47卷第一期。 


医用胶在肺脏手术中的应用:支气管吻合

1、用一片明胶海绵放在吻合口处,再将之压实,将福爱乐医用胶(约0.5ml)均匀地涂于其上,迅速将其与支气管吻合口处紧紧贴牢;吻合口外均匀适量喷涂或涂抹福爱乐医用胶,当吻合口张力较大或吻合口位于胸顶或弓后等解剖困难部位时,直接将福爱乐医用胶喷涂或涂抹于吻合上。 

2、食管癌及贲门癌切除术的机械吻合口处。这样弥补了手工吻合或机械吻合可能发生的漏针和钉合不严密,增加了吻合口的封闭性和强度。 

3、当吻合口张力较大、吻合口位于胸顶或主动脉弓后加固缝合较困难时,可放弃加固缝合,直接喷涂福爱乐医用胶于吻合口,降低了手术难度,减少瘢痕形成,有利于预防吻合口狭窄的发生。


操作要点

1、在使用中,应注意通过各种松解游离手段,尽量减少支气管吻合口张力; 

2、涂胶前应用纱布拭净支气管吻合口处的血液及渗液; 

3、如果操作不熟练,动作不够快,可分二段或三段,每段1/3周或1/2周涂胶; 

4、吻合口严密封闭,经水封实验,气道内内加压3.94Kpa(40 cm 水柱),吻合口不漏气, 气管温和即告成功; 

5、吻合口周围用胶应是全周性、胶膜薄而匀; 

6、如经水封实验发现吻合有漏气,提示涂胶有遗漏,应立即揭开该处的胸膜,去掉胶膜 ,重新涂抹胶液并用胸膜包盖。 

医用胶在肺脏手术中的应用:支气管胸膜瘘

支气管胸膜瘘(BPF)是一种严重的肺叶切除术后并发症,最常见于肺癌切除术后,发病率高达4.9%,病死率也较高。既往多采取再 次外科手术或保守治疗,疗效不理想。支气管镜下医用胶封堵术适用于轻中度的BPF患者,对于轻度BPF患者效果尤佳,对于重度以 上BPF患者依据患者具体情况行开胸瘘口修补、大网膜或带蒂肌瓣包埋,胸廓成形术等手术治疗及支架植入术等。总之,采用电子支 气管镜下注入医用胶治疗支气管胸膜瘘具有操作简便,创伤小,疗效直接、安全、费用少,可反复操作,无严重并发症发生,值得 临床推广应用。 


操作要点

1.手术当日及术后3日应用镇咳药,防止胶块脱落。 

2.术前肌内注射阿托品,再用2%利多卡因雾化吸入表面麻醉; 

3.经鼻进入常规电子支气管镜,观察到手术缝合口处,让患者深呼吸,看到瘘口,清理干净瘘口周围血液、痰液、脓液等分泌物; 

4.从支气管镜活检孔插入内镜导管,进入到距瘘口0.5 cm左右,内镜导管离开活检孔道开口要有一定距离,以1 cm左右为佳,以免渗出医用胶将孔道堵塞,嘱患者屏气,支气管镜下快速注入医用胶0.5 mL左右; 

5.看到瘘口处支气管黏膜迅速变白,将内镜导管连同支气管镜一同拔出。 


参考文献:支气管胸膜瘘电子支气管镜介入治疗的临床分析,李艳,何家富,天津医药2012年1 月第40 卷第1 期,doi:10.3969/j.issn.0253-9896.2012.01.026 

医用胶使用方法

未标题-1.jpg

医用胶粘合切口/伤口使用说明

1. 皮下缝合

手术切口和深入皮下的伤口(深度在0.5cm及0.5cm以上)

彻底清创止血,皮下有效减张缝合,新鲜,清洁,无张力浅表小伤口可无需针线缝合,直接涂抹FAL医用胶粘合。

2. 胶瓶打开

安瓿瓶尖端朝上,用手或工具掰开安瓿瓶的颈部。

注意保护手指,避免玻璃划伤;保护眼睛,避免胶液溅入眼睛。

3. 吸取胶液

用无菌吸管或者注射器吸取适量胶液。

保证无菌吸管与无菌注射器等用胶工具是干燥的,避免接触水或者其它液体。

4. 清洁皮肤

用牙镊夹持切口/伤口皮缘,皮肤表面渗血/血迹擦拭干净。

滴涂胶液粘合切口/伤口皮缘之前,务必保证皮肤表面清洁和干燥。

5. 滴涂胶液

夹持长度约2~3cm的切口/伤口,皮缘线两侧各滴1滴胶液。

切口/伤口皮缘必须对合严密,用无菌吸管端部或涂胶棒沿着皮缘线快速涂抹胶液,保持对合状态5~10秒左右。

6. 分段涂胶

长度在3cm以上的切口/伤口应分段操作,2~3cm为一段。

均匀涂抹胶液,禁止反复涂胶 ,胶膜宽度约3cm,避免胶液进入皮内,避免手套/镊子粘住皮肤,胶膜完全干燥后表面可覆盖敷料保护,忌抓挠伤口皮肤。

爱心提醒

使用前,请仔细阅读说明书;

本品禁止用于皮下粘合及止血;

感染的伤口、污染的伤口禁止使用本品;

本品为一次性使用,禁止重复使用,避免交叉感染;

使用本品后可无需换药,避免用棉球反复擦拭消毒胶膜。


产品注册证编号

产品注册证编号

国械注准20153021282